High-Impact Articles
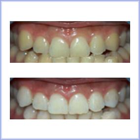
It is normal for the teeth of the average person to suffer discoloration or stains as they age. Even the best dental hygiene and oral care may not...
When you are managing a business, whether big or small, there are some things you can’t manage on your own, no matter how good you are or how hard...
Remodeling work around the house becomes necessary after a few years of heavy usage. Most people who don’t take remodeling and renovation work...
Most people consider a working overhead door or one that opens to the side to be essential for a garage, especially in a climate like that of the...
Automotive
Real Estate
Your item did not found. Please create post


